1. TOP
  2. 日本の歯科業界の現状

日本の歯科業界の現状

Japan Dental Industry

世界と
日本の歯科の違い

Message

日本では、痛くなってから歯科医院に通う、という現状があります。

日本の歯科医療の現状を
ご存知ですか

日本では痛みや腫れなど何か症状が出てから歯科医院を受診するのが一般的です。治療のために歯科医院へ行き、再発すると再度歯科医院へ行くといった治療型のかかり方は、再治療を繰り返しながら結果的に多くの歯の喪失を招いてしまいます。むし歯も歯周病も、痛みが出たときには既に重度に進行してしまっている場合が多く、最終的な治療費も大きくなってしまいます。

  1. Case1

    虫歯や歯周病の発症

    虫歯や歯周病の発症

    上図は、現在の日本の歯科医療を表しています。何か違和感を持ちませんか?

  2. Case2

    繰り返す発症と再治療

    繰り返す発症と再治療

    蛇口の水が出しっぱなしの状態で二人の人間が床を拭いています。
    蛇口から溢れ出てくるのは「むし歯」と「歯周病」です。

  3. Case3

    複雑化する治療と負荷

    複雑化する治療と負荷

    溢れ出てくる水を拭く雑巾はむし歯を詰める「CR(コンポジットレジン)」というプラスチックや「Cr(クラウン)」という被せ物です。
    さらに悪くなると「抜歯」や「入れ歯」「インプラント」などお金と技術が必要な処置で治す必要があります。

  4. Case4

    原因を絶たずに続く徒労

    原因を絶たずに続く徒労

    しかし、蛇口は開いているので治しても治しても「むし歯」と「歯周病」が溢れ出てきます。これでは「徒労」に終わってしまいます。
    日本の歯科医療も同じ状況ではないでしょうか。

世界でも残存歯数の
少ない日本

歯科疾患実態調査によると、親不知を除く永久歯28本のうち、60歳で約10本、80歳で約20本を失い、80歳の残存歯数は平均すると5~6本程度です。また、その残っている歯の状態も、健康だとは限りません。80代の約半数は一本も歯がなく、総義歯を使用しています。これは、歯科医院を受診しなかった結果ではありません。歯科医院を治療のために繰り返し受診した結果です。アメリカでは80歳で17本、スウェーデンでは75歳で20本の永久歯が残っています。予防歯科の進んだ国と比較すると、日本では残存歯数が少ないことが分かります。

75歳から80歳 残存歯数比較

この差を生んでいるのが、予防のためのメインテナンスです。メインテナンス率は、スウェーデンで約90%、アメリカで約80%です。それに対し、日本では5%を切っており、この違いが残存歯数の違いとなって現われています。

メインテナンス率

むし歯も
歯周病も予測可能な疾患。
予防できる病気です

日本ではむし歯治療は国民皆保険制度によって保障されているため、いつでも誰でも安く治療が受けられます。そのため、知らず知らずのうちに、歯は悪くなったら治療すればいいという考え方が根付いてしまったのかもしれません。しかし、残念ながら、いったん治療した歯は健康な歯よりもろくなってしまいます。また、どんなに精度の良い被せ物をたとしても、どんなに高額な治療を受けたとしても、ご自身の天然歯にかなうものはありません。
現在では、むし歯も歯周病もその病因論が明らかになっており、予防可能な疾患です。科学的に診査、診断し、総合的な判断にもとづいた予防プログラムにそって実践すれば、生涯を通して自分の歯を守ることは可能です。の技量を超える分野も日本トップレベルの専門医に紹介することによってよりハイレベルな治療を受けることができます。

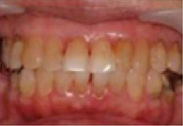
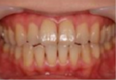
口腔内の画像
口腔内の画像
口腔内の画像

しかし、いくら高額な治療費を払い、高度な治療を受けたとしても、残念ながらもともとの自分の歯のように丈夫な状態に戻すことはできません。天然歯に優るものはないのです。歯は人体の中でも特殊な組織で、新陳代謝機能のない組織です。一度失った歯や、歯を支えていた歯槽骨は、二度と再生されません。 歯を失ってから高額な治療費がかかるのと、健康を守るためにメインテナンスを受けるのとでは、どちらが賢い歯科医院の通い方だと思いますか??
当院へかかられる患者様には、是非予防の重要性を認識して頂き、歯を守ることが全身の健康に寄与すること、総医療費の削減につながることを理解して頂いた上で診療を受けて頂きたいと考えています。