1. TOP
  2. 診療案内
  3. 歯周病治療

歯周病治療

Periodontal

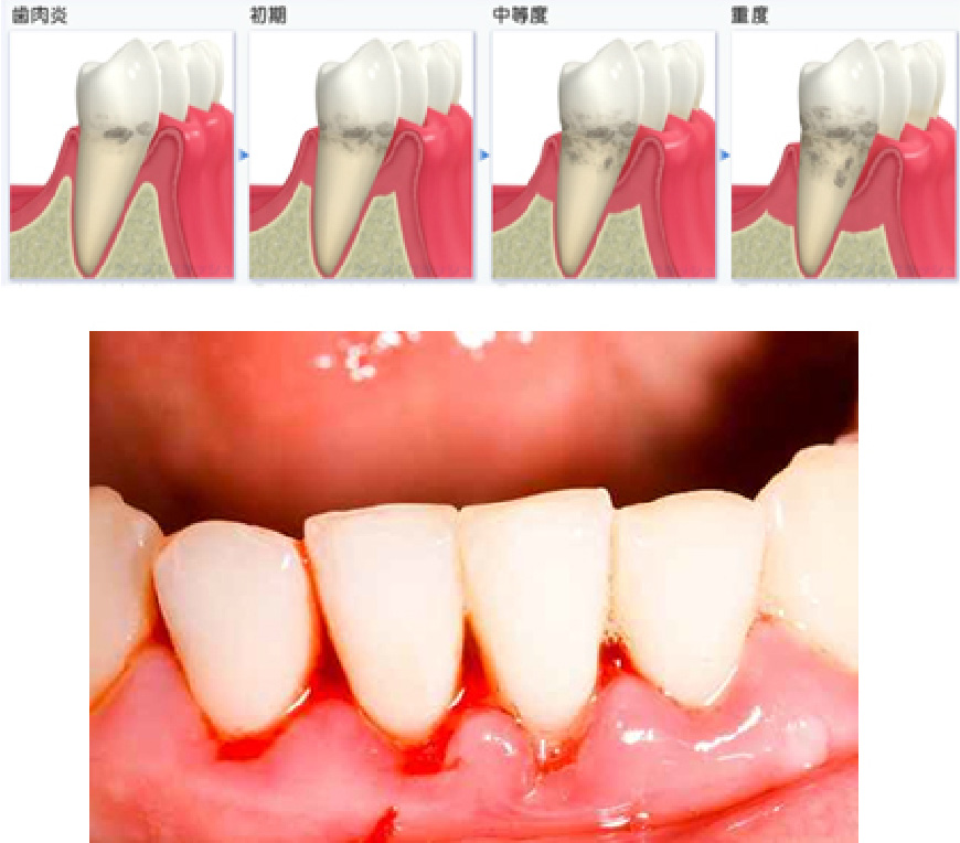
自覚症状のない歯周病

日本における抜歯理由の第1位は歯周病

日本における抜歯理由の第1位は歯周病

歯周病とは、歯を支えている組織(主に歯槽骨)が破壊され、結果的に歯の喪失を招く疾患です。日本人の抜歯理由第一位は歯周病です。
歯周病は自覚症状がないまま重度に至り、気が付いた頃には手遅れになっていることが少なくありません。一度失った歯槽骨は、現在の医療技術では完全に再生させることは不可能です。
歯周病は、健康なときから予防をスタートすることが肝心です。また、初期~中等度に進行している場合には適切な歯周治療を受け、重度に至らないための予防行動が必要です。

歯周病のリスクファクター

歯周病のリスクファクター

歯周病は様々なリスクファクターから進行します。
一番のリスクファクターは喫煙で進行しやすく、歯周病治療を行っても治りにくいと言われています。その他にも、遺伝やホルモンバランスの変化などが関わっています。

まずは歯周病検査を受けることから始めよう

まずは歯周病検査を受けることから始めよう

まずは自分がどのくらい歯周病が進行しているのかを正確に知ることが重要です。
そのためには、視診だけでなく、歯茎の精密検査、レントゲン写真などを受け、歯周ポケットの深さや歯茎の炎症の程度、歯を支える歯槽骨の吸収度合いなどを知る必要があります。

定期的な専門メンテナンスが最重要

定期的な専門メンテナンスが最重要

超音波チップを用いて歯周ポケット内のバイオフィルム(細菌の集合体)を除去します。歯周病菌は嫌気性菌であるため、酸素の届きにくい歯周ポケット内でバイオフィルムという形で増殖します。クリーニング後3~4ヶ月すると再びバイオフィルムが成熟し、歯周病を進める要因になってしまいます。こうした細菌を体の免疫力で抑えられる範囲にコントロールしておくことが、歯周病予防において最も重要です。歯周ポケット内のバイオフィルムはご自身の歯磨きでは除去することができません。毎日の丁寧な歯磨きやフロッシングに加え、3~6ヶ月に一度は必ずメインテナンスを受けましょう。

歯周病が見つかったら?

進行の確認

まずは自分がどのくらい歯周病が進行しているのかを正確に知ることが重要です。
そのためには、視診だけでなく、歯茎の精密検査、レントゲン写真などを受け、歯周ポケットの深さや歯茎の炎症の程度、歯を支える歯槽骨の吸収度合いなどを知る必要があります。

歯石除去

歯石が残ったままメインテナンスを行っても歯周病は進行してしまいます。レントゲン上で歯石がついている場合は、歯石除去後もレントゲンを撮影し取り残しがないか確認していきます。

歯周病リスク評価
(ステージ・グレード分類)

ステージ・グレード分類とは?

ステージ・グレード分類とは?

歯周病は「進行度」と「なりやすさ」で評価します
歯周病は、見た目や症状だけでは分かりにくい病気です。現在では国際的な基準に基づき、「どのくらい進んでいるか(ステージ)」「今後どれくらい進みやすいか(グレード)」の2つの視点から総合的に評価します。
これにより、今の状態だけでなく将来のリスクも踏まえた診断が可能になります。

ステージ:今の歯ぐきと骨の状態を知る

ステージは、歯ぐきの炎症の程度や、歯を支える骨がどれくらい影響を受けているかをもとに判断します。
歯周病は進行すると歯を支える骨が減ってしまうため、早い段階で状態を把握することがとても重要です。
当院では検査結果をもとに、現在の進行度を分かりやすくご説明します。

■歯周炎のステージ

  • ステージⅠ
  • ステージⅡ
  • ステージⅢ
  • ステージⅣ

※数字が大きいほど重症度は高くなる

グレード:これからの進行リスクを考える

グレードは、歯周病が今後どのくらいの速さで進行しやすいかを評価します。
喫煙習慣、歯みがきの状態、かみ合わせ、全身の健康状態なども考慮し、将来のリスクを予測します。
この評価により、一人ひとりに合った治療やメインテナンスの間隔を決めることができます。

■歯周炎のグレード

  • グレードA
    遅い進行
  • グレードB
    中程度の進行
  • グレードC
    急速な進行

見た目は健康そうでも“なりにくい”とは限りません。
歯周病はある程度進行しないと自覚症状が出てこないので、早い段階でのアプローチが大切になってきます。

歯周病と全身疾患との関係

歯周病は全身に影響を及ぼします

歯周病は歯を失う大きな原因です。歯は食べ物がはじめて出会う「消化器」であるだけに歯周病で歯を失うと、からだ全体に大きな影響が及ぶ可能性があります。
そして今、歯周病が全身のさまざまな病気に関わっていることが分かってきました。

歯周病対策で健康力アップ

歯周病対策で健康力アップ

■脳…認知症

噛むことが脳を活性化することがわかってきています。噛むことによる刺激で学習能力に深く関わる伝達物質が増えます。

■肺…肺炎

“誤嚥性肺炎”とは、食べ物や唾液が誤って肺に流れ込むことで、口の中の細菌によっておこる肺炎をいいます。高齢者、寝たきりの人や、脳卒中の後遺症などで飲み込む力が衰えている人に多く発生しています。

■心臓…狭心症・心筋梗塞

歯周病菌が動脈硬化をおこしている血管に付着すると、血管を狭める作用を促進すると考えられています。

■すい臓…糖尿病

歯周病は糖尿病を悪化させます。インスリンの活性を干渉し、血糖値のコントロールが不十分となり糖尿病を悪化させます。

■骨…骨粗しょう症

骨粗しょう症とは、骨の密度が減ってスカスカになり、骨折しやすくなる病気。骨粗しょう症の人が歯周病になると、歯を支える骨が急速にやせてしまいます。

■おなか…肥満・メタボリックシンドローム

噛むことが肥満を防ぐメカニズムもわかってきています。“一口30回噛む”ことは肥満予防法として、厚生労働省でも取り上げられています。

■子宮…早産・低体重児出産

妊婦さんが歯周病になると、おなかの赤ちゃんが小さく生まれたり、早産になるリスクが高まることが知られています。